
If you notice that you front teeth are substantially covered up by your gums, then you are having gummy smile indeed. Undoubtedly, gummy smile hamper your beautiful smile and make it unappealing at times because your gums hide your beautiful looking teeth while smiling. However, Dr. Kathuria’s, Multi Specialty Dental Clinic has come forth with several painless and bloodless treatments for gummy smile that can correct your gummy smile. Besides, the traditional surgical procedure of treating gummy smile, Dr. Tarun Gaur also offer Laser Gummy Smile Correction procedure that help the patients with gummy smile to enjoy an aesthetic look. This treatment procedure actually is employed to reduce the length of the gums and to balance the gum tissues so as to shape and size the upper lip and to make the teeth look better than every before.
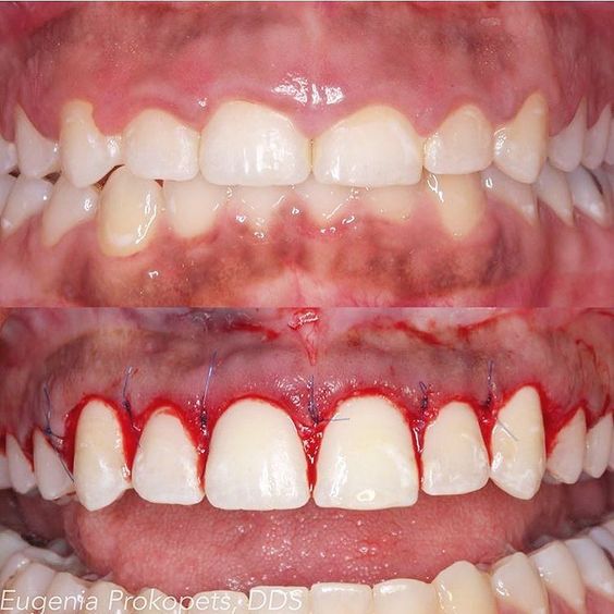
Traditional oral surgery is also offered for correcting gummy smile. But, this type of surgery is not employed these days because it may case risk of infection, bleeding and discomfort during and post surgery. So, due to advancement in cosmetic dentistry, Laser Gummy Smile Correction procedure has been introduced which can correct the gummy smile in painless and safer way.
During the procedure the laser will cauterize and remove additional tissues, so patients will experience less or no bleeding during the procedure. Besides, the chances of pain and infection are also very less than traditional surgical procedures. Moreover, the patients may experience sore or swollen gums for few days which will diminish automatically.
No matter what is the reason of your gummy smile, but you don’t need to put yourself under knife today because laser treatment is available to correct the condition with ease. You need to visit our clinic for complete evaluation of the condition where you will find out the reason and condition of the gummy smile through x-rays and tests. It helps us to find the ultimate treatment for your condition.
During the laser treatment procedure our dentists will use laser and re-shape the available loose gum tissues , without compromising the biological width, so as to make your teeth expose more than before. Laser gummy smile correction is perfect solution for patients with minor affect of gummy smile, but more serious cases we often recommend surgery which is very rare. The targeted tissues are treated with the help of the laser beam and the surrounding gums and teeth are kept untouched. Through this procedure the gums are re-shaped to expose the additional tooth structure, thus creating a more proportionate appearance for your gums and teeth. Even a correction of 1-2 mm of gum shaping works wonder on your smile. It’s done by Periodontist (Gums specialist) at one of the best centers in New Delhi, Dr. Tarun Gaur, Multi Specialty Dental Clinic in New Delhi, India.