
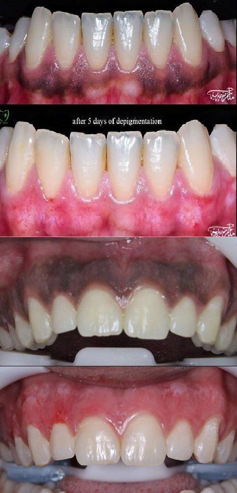
Laser Gum De-pigmentation is generally a dental procedure that is mainly executed to remove the pigments and ugly spots from the gums which is caused due to excessive melanin. Generally, the color of the Gingiva or the gum tissue is pink in color, but due to the accumulation of excessive melanin the patient experience ugly patches on gum tissues which is considered to be a cosmetic dental problem. There are several reasons due to which the gum tissue has patches. Using certain synthetic medications for long-term and smoking are some common reasons due to which the gum tissues have patches. However, there are several treatments available in dentistry to treat this type of problem. The treatment options include surgical, chemical and laser. In order to get permanent results, patients may opt for laser gum de-pigmentation. This procedure is not only effective but also painless and bloodless.
Laser Gum De-pigmentation target and ablate the melanocytes, the cells that produce melanin and cause spots in gingival tissue. Therefore the further production of melanin in gum tissues is reduced significantly. Besides, the laser treatment heals very quickly and can be accomplished in lesser time than other traditional procedures.
The de-pigmentation of gum tissue by using a laser is also popularly called as laser gum bleaching. This procedure is safe, effective and fast than all other traditional methods. With this procedure gum tissues, discoloration can be treated in very less time and without any pain. As this treatment procedure mainly target and ablate melanocytes, so the chance of further production of melanin in gum tissues is eliminated. Besides, this procedure also brings back the natural pink color of the gum tissue.
With laser gum bleaching patients can expect pink gums once again. This treatment is very faster and painless as no surgery is involved in the process. The time required to accomplish this procedure is very less. This procedure hardly consumes few minutes and can be accomplished in a single clinic visit. Thus the need to visiting the dental clinic, again and again, is eliminated.
Laser gum de-pigmentation is a safe procedure as far as protective measures are followed properly by the patients and dentists. But we must remember that it’s not a permanent procedure & some relapse can happen over a few months/years. As in this procedure laser beam is used, so the chance of further damage to the gums and surrounding area is eliminated. Moreover, the possibility of tissue damage and bleeding during the procedure is also eliminated, thus patients can recover at a rapid pace and in better way. To expect better result from the procedure it is suggested to take appointment at reputed and reliable dental clinic like with Periodontist (Gums specialist) at one of the best clinics in Ajmer , Dr. KatTarun Gaur Multi Specialty Dental Clinic.