
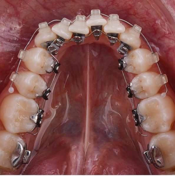
Lingual braces are custom made fixed braces bonded to the back of the teeth making them invisible to other people. In lingual braces the brackets are cemented onto the backside of the teeth making them invisible while in standard braces the brackets are cemented onto the front side of the teeth. Hence, lingual braces are a cosmetic alternative to those who do not wish the braces to be visible.